当院の矯正治療

矯正治療とは、一般的には悪い歯並びをきれいに治す治療のことを言います。
しかしながら、単に歯並びの美容的な改善をするだけではありません。
きれいな歯並びは虫歯や歯周病の予防につながり、将来のお口の健康維持に貢献します。
よい噛み合わせは消化を助け、身体全体の健康にもよい結果をもたらします。
当院では、ご要望に合わせた矯正治療をご提案させて頂きます。
矯正治療の種類
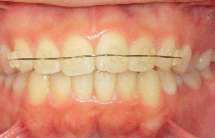
ワイヤー矯正

ワイヤー矯正は歯に「ブラケット」という装置を取り付け、そこにワイヤーを通して少しずつ歯を動かしていく最もスタンダードな矯正法です。
治療期間:2〜3年
マウスピース矯正

治療中の矯正装置が目立つのがイヤ。そんな方にはマウスピース矯正をご提案します。
透明なマウスピースを装着するだけの簡単さで、目立たず取り外しができることから、女性を中心に当院でも人気が高まっています。
治療期間:6ヶ月〜2年
部分矯正

「本格的な矯正治療をするほどではないけど、前歯の歯並びが気になる。」そんな方には部分矯正(MTM)がおすすめです。
気になる部分だけを矯正する治療法です。
治療期間:3ヶ月〜1年
矯正用インプラント

矯正用インプラントによる矯正治療は、従来型の矯正治療法では、今まで困難とされてきた方向への歯の移動が可能となり、矯正治療期間を短縮できるなどのメリットもあります。
治療期間:1ヶ月
小児矯正

小児矯正のもっとも大きなメリットの1つが、顎の発育を治療に利用できるということです。
開始年齢は5~7歳くらいが最適です。
治療期間:1〜3年程度
初診時の流れ
1. ご予約

お電話もしくはご来院の上でご予約をお取り下さい。
矯正相談の予約とお申し出下さい。
2. 初診カウンセリング

充分な時間をとって専門スタッフがお話をお伺いします。
どんなお悩みもお聞きします。
3. 資料取り

レントゲン、写真、歯の型取りなど、診断に必要な資料を取らせて頂きます。
3. 診断

取らせて頂いた資料をもとに診断し、治療の計画をいくつかご用意させて頂きます。
患者様一人ひとりに合った治療方法を患者様とご一緒に考えます。
診療費や治療期間についてもお話しさせて頂きます。
この場で矯正治療をするかの決定をする必要はございません。
一旦ご自宅でじっくりとお考え頂きご検討頂くことも可能です。
私たちは、患者様のお気持ちを第一に考えます。
おひとりおひとりのお口の状態によって矯正の計画も変わってきます。
当医院では、治療開始前にお見積りを患者様に確認していただきご納得の上で治療を開始致します。
ご不明な点などありましたら、遠慮なくおたずね下さい。

